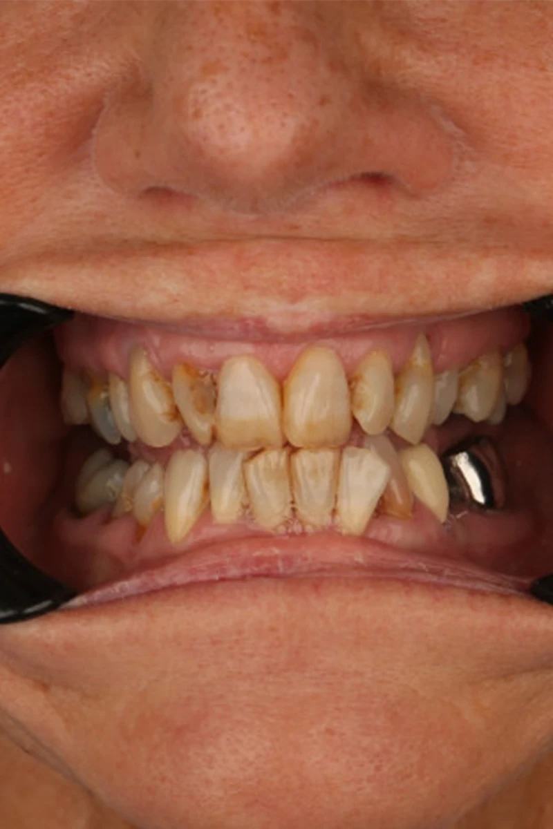
Patientenbilder – Echte Behandlungsergebnisse
Hier werden ausschließlich Fotos von Patientinnen und Patienten gezeigt, die der Verwendung ihrer Bilder ausdrücklich zugestimmt haben. Alle Aufnahmen werden diskret und vertraulich behandelt.
Ergebnisse sind stets individuell und können variieren. Jede Hautstruktur, jede anatomische Voraussetzung und jede persönliche Wunschvorstellung ist einzigartig und wird individuell besprochen sowie fachlich beurteilt. Im persönlichen Beratungsgespräch mit dem behandelnden Facharzt werden Ihre Wünsche mit den medizinischen Möglichkeiten abgestimmt. Ziel ist ein harmonisches, natürlich wirkendes Ergebnis – sofern es medizinisch sinnvoll und realistisch umsetzbar ist.



























